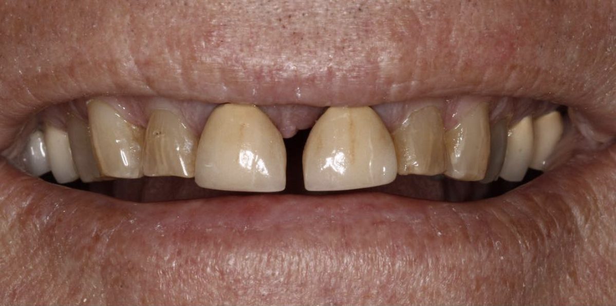
See Our Fantastic Smile Transformations
Hover over the image and move your cursor left and right to see the before and after.
373 Sebastian Blvd. Sebastian, Florida 32958
Hover over the image and move your cursor left and right to see the before and after.



















